We accept payment via santé éducation

Categorie: Diseases

Affichage de tous les articles de la catégorie «Diseases»

santé éducation
13/10/2023 13:13

Sick kidneys: 7 warning signs

The kidneys are the organs located in the back of the abdomen, parallel to the spinal column. They are responsible for poor control of electrolyte levels, blood pressure and fluids, among other things. However, there are certain physical signals that

santé éducation
22/08/2023 17:26

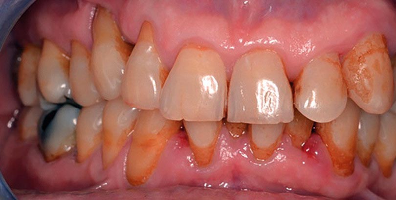
Periodontal disease: beware of tooth loss

Periodontitis is an inflammation of the tissues that surround and support the teeth. According to Dr Georges Tokofai, President of the National Order of Dental Surgeons of Togo (ONCDT), Director of the International Dental Centre of Lome (CDIL), peri

santé éducation
10/08/2023 18:17

Kidney failure: causes and treatment

L’insuffisance rénale est une maladie grave. Elle entraîne une détérioration graduelle et irréversible de la capacité des reins à filtrer le sang et à excréter certaines hormones. Elle est, aujourd’hui, la 11ème cause de mortalité dans le monde. Quel

santé éducation
28/07/2023 20:49

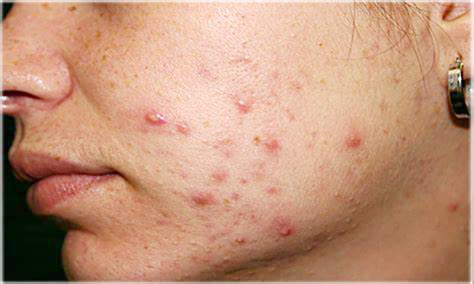
Acne: understanding the disease to cure it

Points noirs, pustules, boutons et papules sont les indésirables compagnons des adolescences. Pour s’en débarrasser, certains sont prêts à tout : savonnage intensif, masque anti-imperfection, baume purifiant, gel désinfectant, gommage exfoliant. Or c

santé éducation
27/07/2023 10:52

Bronchitis: natural signs and remedies

Bronchitis is an inflammation of bronchi of viral or bacterial origin, or secondary to toxic products; the bronchus is therefore the tube in which air circulates in the lungs. In Togo, Acute Respiratory Infections of the child (IRA), especially bronc

santé éducation
13/07/2023 16:27

Sore throat: what to do?

Health centres record an increase in cases of sore throat at certain times of the year. These include times of heavy rain, harmattan periods and the arrival of monsoon winds. According to Dr Jean-Claude Bakpatina, General Practitioner at Clinic Flor

santé éducation
07/07/2023 11:36

Dental abscess: how should it be treated?

A dental abscess is a fairly common medical problem that can occur at any age. Essentially, it is an infection that occurs in the teeth or gums. It causes a great deal of discomfort, in particular a sharp, stabbing pain that worsens over time...

santé éducation
30/06/2023 15:28

Gout and kidneys: beware of kidney failure

Gout is an inflammatory arthritis secondary to crystalline deposits of monosodium urate or uric acid. Uric acid is the end product of the breakdown of certain molecules in the body, in particular purines. Uric acid levels are maintained at a maximum

Display of 12 results on 86 — Page 4